Hip Dysplasia

Hip Dysplasia in Dogs

Hip dysplasia, one of the most common orthopedic conditions in dogs, refers to the abnormal formation of the ball-and-socket joint of the hip. When these bones fit together more loosely than they should, the joint has more movement than normal. This looseness (called joint laxity) can lead to instability, osteoarthritis (OA), pain and lameness.

Hip dysplasia can be caused by a variety of factors including genetics, diet and environmental factors, particularly in puppies whose rapid growth can lead to joint instability.

How hip dysplasia is treated

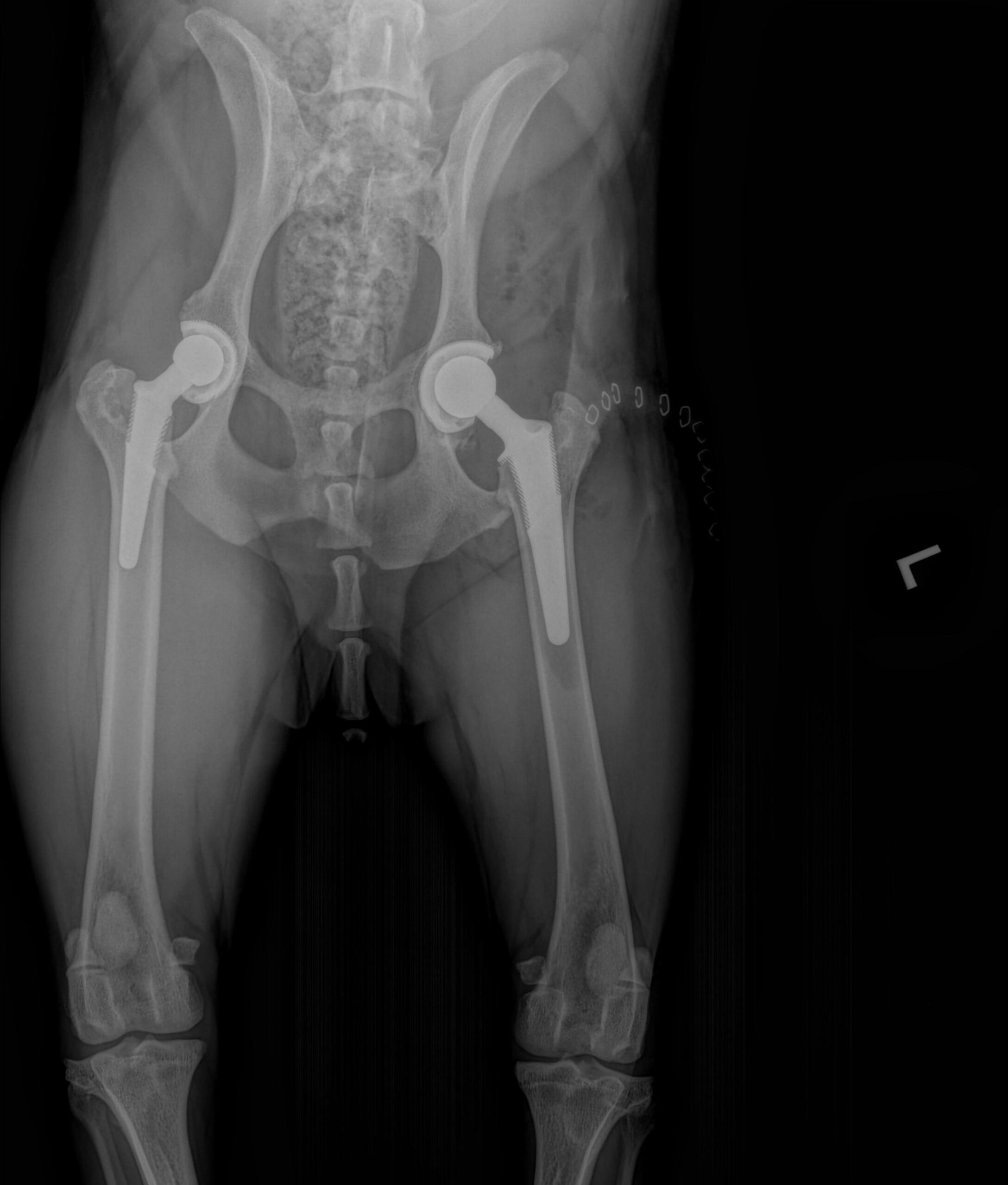
Treating hip dysplasia depends on the individual patient. Generally, treatment is divided into conservative (non-surgical) and surgical options. Conservative options focus on lifelong management strategies to improve hip extension, maintain muscle mass, and reduce pain. Weight control through a daily exercise plan and diet is essential. In addition, we may prescribe a program of physical rehabilitation. When surgery is indicated, the specific procedure we recommend generally relates to your dog’s age as well as their clinical symptoms:

Post-operative care

We’ll provide specific post-operative recommendations for your pet tailored to which procedure is performed. In general, your dog will need 8-12 weeks of rest after surgery. This means no running, jumping, or playing.

They will need to be taken outside on leash for bathroom breaks. Excessive climbing up and down stairs or jumping on and off furniture should be avoided. When your dog is not directly supervised, they should be placed in a crate, small room, or a sectioned-off portion of the house so they can’t overdo it. Excessive activity will lead to implant breakdown, soft tissue injuries, and delayed healing.

If staples/sutures are present, they’ll be removed, or the incision evaluated, about 2 weeks after surgery. X-rays will be done at 4-6 and 8-10 weeks after surgery. At these rechecks, an orthopedic exam will also be performed to ensure everything is healing as expected.

We see faster healing, better preservation of muscle mass and range of motion, and superior outcomes in patients that undergo formal rehabilitation. That’s why we recommend physical rehabilitation beginning 2 weeks after surgery (except for FHOs, when rehabilitation should begin 5-7 days after surgery). This involves once- or twice-weekly rehab sessions along with at-home exercises. Rehabilitation also gives your dog a controlled way to remain active and expend energy during recovery.

Schedule a consultation

If you or your primary care veterinarian suspects your dog has hip dysplasia and would like us to evaluate their condition and recommend a treatment plan, please schedule a consultation by calling 301.778.7781 or request an appointment online.